20 января 2015 г.
20 января 2015, Москва, OOO «Дистрибуторская компания Графитек» – В связи с огромным интересом потребителей, лидер в области решения для управления цветом Datacolor®, объявила о продлении срока действия бесплатной пробной версии программы для калибровки цвета ChromaCal ™.
Первоначально предполагалось, что пробная версия ChromaCal ™ будет доступна до конца 2014 года. Однако Datacolor решила пойти навстречу своим клиентам, которые смогут всегда и везде получить доступ к ChromaCal Free Trial и полнофункциональному ПО для калибровки ChromaCal в комплекте с калибровочным слайдом ChromaCal Slide.
Таким образом, участники ознакомительной программы получают все необходимое, чтобы проверить калибровку в своем учреждении в течение 30 дней, без какой бы то ни было оплаты.
Чтобы воспользоваться предложением, нужно зарегистрироваться на сайте scientific.datacolor.com/current-promotion и получить доступ к ChromaCal Free Trial. Однако торопитесь, так как акция будет действовать пока в наличии есть пробные комплекты.
Оригинал новости: http://scientific.datacolor.com/datacolor-extends-free-trial-program-chromacal/
О ChromaCal
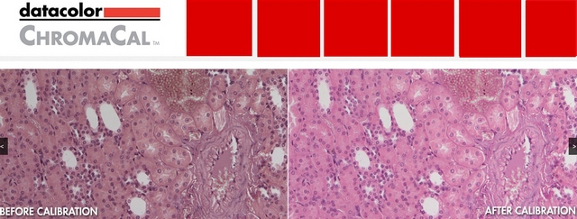
Система цветовой калибровки ChromaCal обеспечивает постоянную цветопередачу презентационного качества для изображений, полученных методом яркого поля без необходимости субъективных настроек – и делает это очень быстро.
ПО имеет мощный, но простой в использовании интерфейс. Оно упрощает работу с цифровым изображением и позволяет избежать субъективных ручных правок, сохраняя исходное изображение.
Подробнее о программе: http://www.datacolor.ru/news/55
Логотип Datacolor:
http://dealer.grafitec.ru/catalog/datacolor/logo
О компании Datacolor
Компания ColorVision была основана в феврале 2000 года в качестве независимого подразделения компании Datacolor AG со штаб-квартирой в Нью-Джерси (США). Datacolor мировой лидер в создании решений для управления цветом в печатной, текстильной и лакокрасочной промышленности, производстве пластмасс и бумаги. Сегодня ColorVision/Datacolor это портфель отличных программных продуктов, талантливая группа управления, мощный отдел исследований и разработок, а также фокусировка на поддержке пользователей. И конечно нельзя не упомянуть глобальное присутствие и авторитет компании Datacolor в сообществе профессионалов.
www.datacolor.com (англ.), www.datacolor.ru (рус.)
Эксклюзивный дистрибьютор Datacolor в России
ООО «Дистрибуторская компания Графитек»
Компания «Графитек» является ведущим российским дистрибьютором игровых компьютерных аксессуаров, периферии для ПК, консолей, потребительской электроники из Европы, Азии и США, а также средств для транспортировки и хранения технологических устройств. Основана в 1997 году. Портфель брендов представлен Razer, Speedlink, X-Rite, Pantone, Datacolor, Port Designs, Satzuma, Click Car Mouse, Tonetron/Prolink, Microtek, Thrustmaster и Hercules, TDK Life on Record, Cresyn. Основными клиентами «Графитек» являются более 500 розничных компьютерных магазинов и сетей, среди которых «М.Видео», «Эльдорадо», DNS, «МедиаМаркт», «Евросеть», «Связной», «Озон». Вся поставляемая продукция сертифицирована, имеет официальную гарантию производителя в России и обслуживается сервисным центром «Графитек».
http://www.grafitec.ru
Вендор: Datacolor
Продуктовая категория:
Источник: Графитек
На правах рекламы.


















